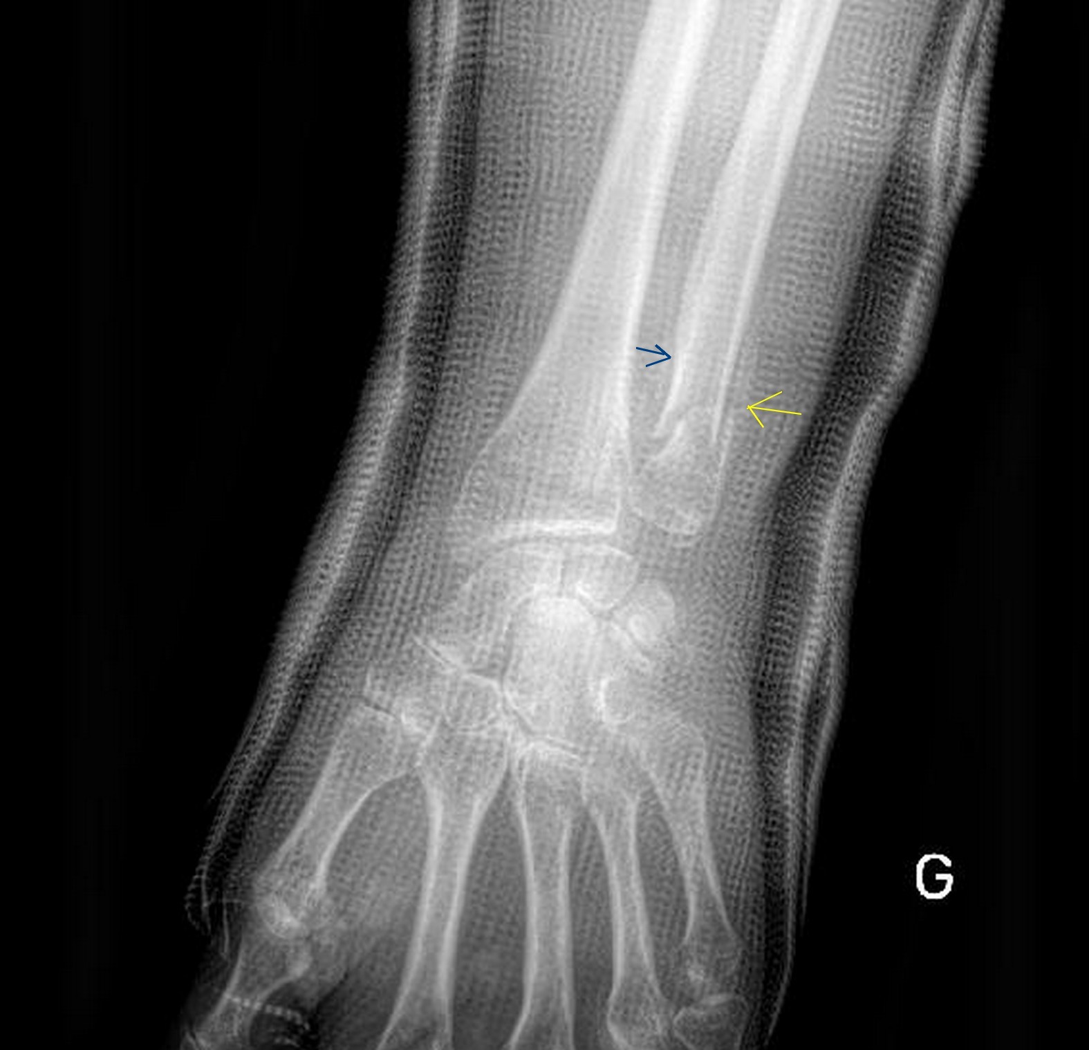
Dans l’article précédent je vous ai laissé dans l’attente de mon RDV avec la chirurgienne le vendredi 13 août. Et donc voici les nouvelles. Cette dame très sympathique et à l’écoute m’a montré sur ma radio un morceau blanc sur le coté de l’os, flèche bleue, ce qui veut dire que la consolidation a bien commencé.
Donc on ne touche pas ! Et enfin plus de plâtre youpi. Bien sur une attelle tout de même et pour 15 jours au moins.

Mais aussi 3 séances de kiné par semaine. Alors que je le vois déjà 2 fois pour mes jambes et à domicile, je ne sais pas comment il va pouvoir venir. Ils sont tous débordés !
Bien sur pas question de conduire encore hélas. La bonne nouvelle c’est que plus besoin de protéger mon bras pour la douche en effet je peux mouiller l’attelle même à l’intérieur. 🙂 Et ça fait du bien.


Mon prochain RDV est le 4 octobre avec une radio de contrôle. En attendant je continue de me battre avec mes différentes douleurs et mauvaises nuits.

Au final tu ne t’en sors pas trop mal (à part les douleurs bien sûr). Moi je pensais que tu devrais peut être te faire opérer… Tant mieux pour toi et en plus maintenant ça doit être plus confortable que le plâtre. 🙂
Bon courage pour la suite.
J’aimeJ’aime
Moi aussi j’ai pensé à l’opération, ça aurait été encore plus long. Avec mon kiné ce matin on a fait les mouvements du poignet et de la main et je dois le faire encore dans la journée, 3 fois s’il n’est pas venu le matin. Il faut 3x par semaine. C’est la personne que je vois le plus ! Il vient déjà 2 fois pour mes jambes aussi.
Bonne douche ce matin sans avoir peur de mouiller ça change
J’aimeJ’aime
je me doute ça doit être très très dur et surtout quand on est seule bon courage a toi bisous
J’aimeJ’aime
Oui et me serais bien passé de ça tu sais. Merci, bisous
J’aimeJ’aime