Et ça dure depuis le 30 avril. J’ai raconté tout ça depuis cet article, à suivre.
J’avais un nouveau RDV le 31 juillet avec l’orthopédiste/ chirurgienne qui me suit depuis le mois de mai. Bien que je n’ai pas été opérée, raisons donnée déjà avant.
J’ai commencé la rééducation avec le kiné du coin de ma rue, pratique mais il ne me plait pas. Pas à l’écoute du tout, y a que lui qui sait tout, qui connait tout. Quand moi je dis que je ne peux pas forcer + ça me fait mal ! « Allez madame il faut forcer un peu sinon ça ne va pas s’arranger ». Dit-il en forçant sur mon bras pour le faire tourner. Zut alors je ne suis pas une gamine, pas douillette non plus. j’en ai eu marre et la douleur devenait insupportable alors j’a tout arrêté. J’aurai du le faire avant parce que là j’ai régressé.

Je vous assure que par moments j’avais envie de le frapper !
Oh j’en ai fait des exercices, même chez moi, devant la télé aussi.
Il était temps que j’arrête et lui ai dit par sms tout annulant ma séance du lendemain. Il m’a appelée 5 fois en 5mn le lendemain matin alors que j’étais sous la douche ! Sans laisser de messages.

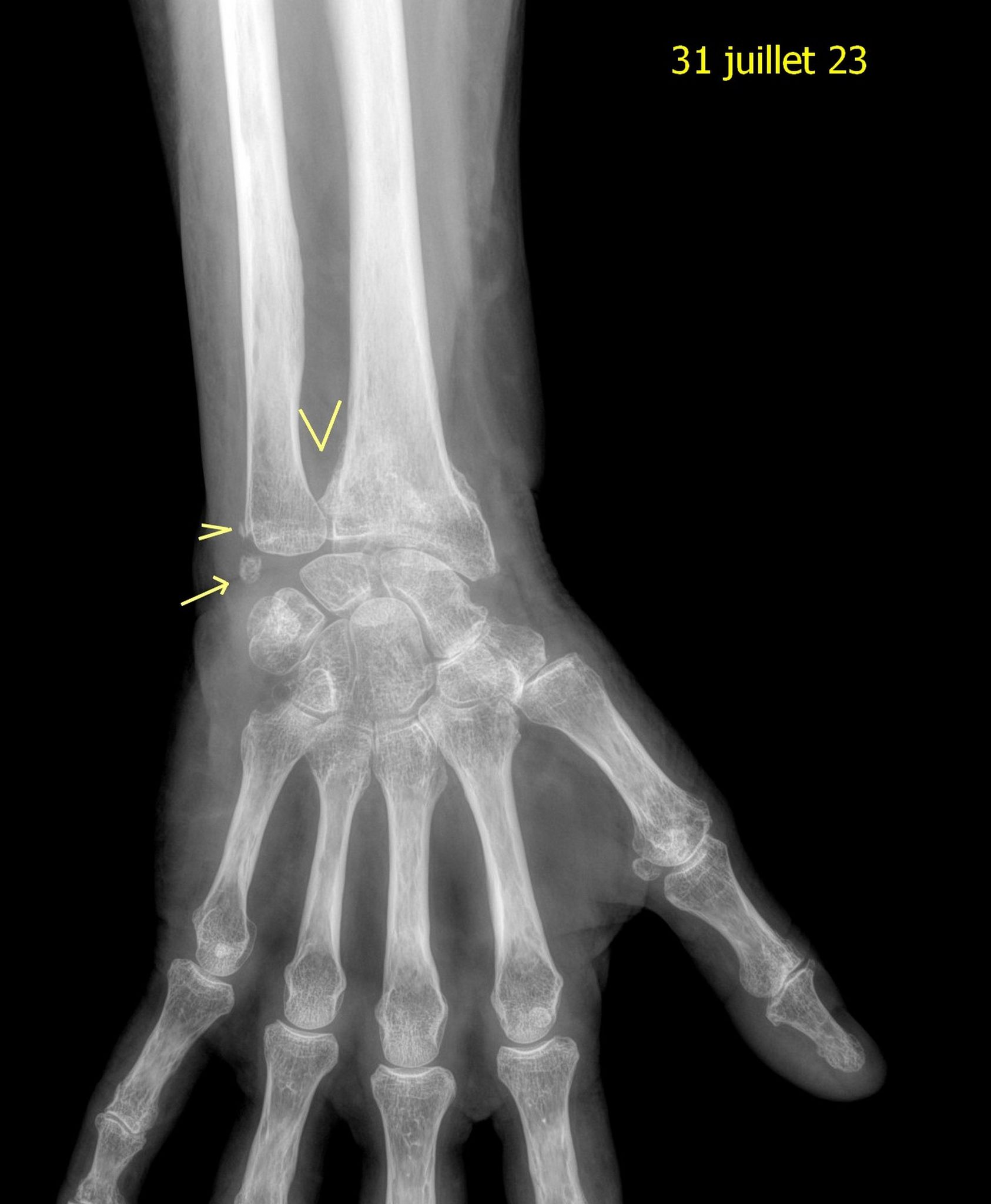
Il a continué en m’envoyant des messages mais j’e n’ai pas répondu, j’attendais d’avoir passé ma visite à Montpellier pour lui donner les résultats. Que voici. Lisez bien le motif déjà.
Alors oui la consolidation a commencé mais elle a attaché le radius et le cubitus , voilà pourquoi je ne sais plus tourner l’avant bras. Forcément mes mouvements s’en trouvent limités et ça restera comme ça.
Quand j’ai réalisé que j’allais rester handicapée, à tout que je ne pourrais plus faire moi qui commençait tout juste à voir un meilleur avenir ça m’a donné un choc. J’ai conduit ma voiture 3 fois pour faire mes courses à coté, déjà pas facile de tourner la clé de contact, même avec l’attelle que je remets du coup, et pour tourner le volant je m’aide de la main gauche.
Je vais retourner chez le kiné, un de ses collègues en espérant … Et ma jambe aussi en aurait besoin, mon algo me fait souffrir et limite mes sorties.




C’est pas drôle tout ça!
Ces donneurs de leçons ils devraient souffrir un peu pour comprendre
Courage
Bises
J’aimeJ’aime
J’ai appris qu’il avait eu comme moi et il se serait soigné tout seul. Comme quoi il n’a pas confiance aux autres !
Bisous
J’aimeJ’aime
Oh la la, c’est pas marrant tout ça ! Bon mais maintenant si tu montres à ton kiné les derniers résultats avec la radio, il devrait en tenir compte et agir en conséquence…
j’espère sincèrement que tes problèmes de santé vont s’améliorer… 🤞
Bon courage en tout cas !
J’aimeJ’aime
Mia tu ne penses tout de même pas que je vais reprendre le même ? Je vais voir avec un de ses collègues mais, pas de suite il faut que mon poignet désenfle avant. Merci à ++
J’aimeJ’aime